After overcoming a challenging brain tumor surgery at age 14, Holland Chandler now works in pediatric neurosurgery, providing support to families.
ATLANTA — Holland Chandler was just 11 years old when a concussion at school led to a discovery that would change her life: a small, benign tumor on her brain.
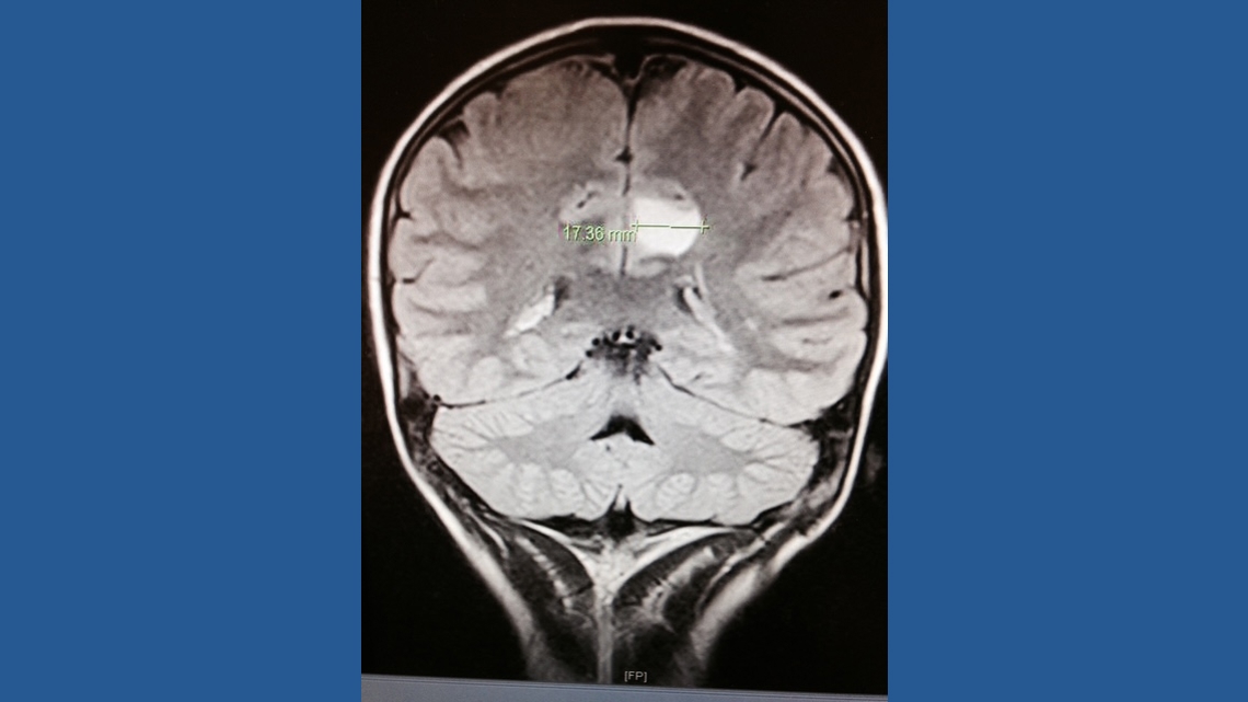
“At first, there was a small little blemish on the scan, and we didn’t understand what it was, what it meant, or what to do about it, really,” said pediatric neurosurgeon Dr. Andrew Reisner. “That little spot on the CT scan was of enough concern that we wanted to follow it.”
For three years, Dr. Reisner monitored the tumor.

By the time Holland was 14, it had grown enough to require surgery.
Doctors performed a nine-hour procedure to remove it, followed by three days in the ICU and three months of intensive physical and occupational therapy.
“Because of where the tumor was located, the left side of my brain, I had to relearn how to walk, how to tie my shoes,” Holland said. “It was definitely scary, but I was so young, my parents took the brunt of everything.”
Despite the challenges, Holland showed remarkable resilience. She spent her summer volunteering at Children’s Healthcare of Atlanta, working across different hospital departments and learning about patient care.

“It definitely means so much,” she said of her current role. “I picture my mom and think of how she must have felt coming to the clinic when I was 11, and she must have been terrified every time. Having a smiling face, or someone who understands, makes a difference.”
Today, Holland, now 24, works as a specialty scheduler in the Pediatric Neurosurgery Department, scheduling MRIs, CTs and other procedures while providing support to families going through similar experiences.

“I get to speak to patients and parents on the phone and in clinic, see people who are going through the same thing that I went through,” Holland said. “It feels great to talk to the parents and say, ‘You’re in great hands, they will take care of you.’ “
Dr. Reisner said Holland’s journey has come full circle.
“She’s such a delight to be around. She’s tough and smart and has such a great presence about her. We were absolutely thrilled to work with her, and it was full circle in many ways,” he said. “A lot of my patients give me really nice feedback, ‘Who is that nice young lady, Holland?’ “
Holland still gets follow-up scans once a year to ensure everything remains clear, but so far, she is thriving. “I wouldn’t change anything about my story because it led me here,” she said.
From patient to advocate, Holland Chandler is helping guide families through the same journey that once changed her life, proving that hope, courage, and compassion can leave a lasting impact.
💌 Mantente al Día con lo Último del Entretenimiento Latino
Recibe noticias exclusivas de celebridades latinas, chismes virales, belleza, moda y entretenimiento — directo en tu correo.
Sin spam. Solo lo mejor de Atlanta Latinos Magazine.







